infiammazióne
IndiceLessico
(ant. infiammagióne), sf. [sec. XIV; latino inflammatío-ōnis]. L'infiammare e l'infiammarsi: l'infiammazione dei gas; anche fig.: l'infiammazione degli animi. In particolare, in medicina, complesso dei processi locali (detto anche flogosi) con i quali l'organismo reagisce all'azione di molti agenti nocivi per i tessuti.
Infiammazione . Tessuto di granulazione a forte ingrandimento.
De Agostini Picture Library
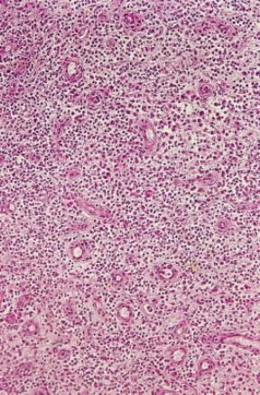
Infiammazione . Infiammazione purulenta del tessuto connettivale sottocutaneo.
De Agostini Picture Library
Medicina: generalità
L'infiammazione interessa tutti i componenti dei tessuti, gli elementi specifici, il connettivo di sostegno, i vasi, i nervi, e si svolge in modo diverso nei diversi tessuti secondo la natura dell'agente che la indice, dell'intensità e delle modalità con le quali l'agente stesso esercita la sua influenza patogena e delle condizioni generali dell'organismo; ne consegue un'estrema varietà dei processi flogistici nei loro caratteri fisiopatologici e anatomici. I momenti dell'infiammazione sono: l'irritazione, le modificazioni circolatorie (iperemia attiva), l'essudazione, i fenomeni regressivi (atrofie, degenerazioni), i fenomeni degenerativi (necrobiosi, necrosi), i fenomeni proliferativi (iperplasia e neoformazione di tessuto granulomatoso). La classificazione delle infiammazioni viene fatta in base al prevalere dell'uno o dell'altro di questi fenomeni: infiammazione eritematosa, nella quale predomina l'iperemia attiva, frequente nei tegumenti e nei tessuti di rivestimento in genere; infiammazione essudativa-sierosa, caratterizzata dalla formazione di una grande quantità di essudato, con sede elettiva nelle sierose (pleure, peritoneo, pericardio, ecc.); infiammazione catarrale, con notevole produzione di muco, leucociti, ecc., che interessa soprattutto le mucose, l'intestino e le vie aeree superiori; infiammazione emorragica e fibrinosa per rottura di arterie, vene, capillari o anche per diapedesi dei globuli rossi con successiva precipitazione di fibrina, frequente negli organi molto irrorati di sangue o che possiedono una rete capillare molto ricca e a pareti sottili (per esempio il polmone); infiammazione purulenta, caratterizzata da abbondante essudato ricco di leucociti polinucleati o di linfociti se si tratta di processi tubercolari e dalla rapida digestione del tessuto interessato per opera di fermenti proteolitici; infiammazione necrotizzante, quando predomina la necrosi; infiammazione produttiva o iperplastica, se prevalgono i processi progressivi, come si riscontra nelle forme a decorso cronico.
Medicina: manifestazioni cliniche
Le manifestazioni cliniche dell'infiammazione sono: il rossore della regione colpita, legato all'iperemia attiva; il gonfiore, determinato dalla formazione dell'essudato; il calore, dovuto all'aumentata vascolarizzazione; il dolore, provocato dalla compressione e dall'intensa stimolazione delle terminazioni sensitive da parte dell'agente flogogeno e dei componenti dell'essudato; la limitazione funzionale dell'organo colpito per l'azione diretta del fattore patogeno, per l'alterata circolazione ematica, per la presenza dell'essudato, per le modificazioni di volume dell'organo stesso, per i fatti degenerativi. Le cause dell'infiammazione sono numerosissime e comprendono tutti gli agenti atti a determinare una risposta infiammatoria da parte dell'organismo. Essi si distinguono in biologici, fisici e chimici: sia gli agenti biologici sia quelli fisici agiscono determinando la liberazione in circolo di metaboliti con attività flogogena, come i Batteri, oppure modificando sistemi biologici complessi, come gli agenti fisici. Alcuni tipi di infiammazione si verificano senza l'intervento di agenti flogogeni esterni, ma per un'abnorme risposta dell'organismo a una reazione immunitaria (ipersensibilità) o per reazioni immunitarie anomale (autoimmunità). Le infiammazioni si distinguono in primitive o endogene, se dipendono da una reazione immunitaria, e secondarie o esogene, se determinate da agenti flogogeni di varia natura. Esiste un rapporto fra l'agente patogeno e il tipo di infiammazione da esso indotta (per esempio i germi piogeni determinano la suppurazione), però tale rapporto non è costante perché l'infiammazione può variare per effetto di circostanze riguardanti lo stato dell'organismo e le modalità dell'azione della causa nociva. Occorre infine tenere presente che concomitanze di cause possono agire non solo direttamente, ma anche indirettamente come fattori predisponenti locali e generali (per esempio diabete, uricemia, ecc.). Riguardo al decorso le infiammazioni si distinguono in: acute, quelle che presentano un periodo d'incremento e uno di decremento, separati da una fase d'acme o di stato; croniche, quelle di lunga durata con oscillazioni irregolari d'intensità o con periodo di acutizzazione. Nelle prime prevalgono i disturbi della circolazione, i fenomeni essudativi, le alterazioni regressive o distruttive; nelle seconde le alterazioni a carico dei tessuti, la rigenerazione e l'iperplasia del connettivo, la degenerazione degli elementi propri del tessuto colpito. L'andamento e la durata del processo flogistico dipendono dalle cause che lo determinano e dalle condizioni locali e generali che l'organismo presenta in quel determinato momento. Le infiammazioni si risolvono con la neutralizzazione e l'allontanamento dall'organismo della causa nociva, l'eliminazione dei tessuti morti, il ripristino o la sostituzione delle parti andate distrutte, il riassorbimento degli essudati. Quando si ha la guarigione senza alcuna traccia dell'infiammazione si parla di restitutio ad integrum, se invece si ha neoformazione di connettivo che sostituisce parti distrutte si parla di guarigione per cicatrice. Per indicare i processi infiammatori si suole aggiungere al nome dell'organo o tessuto la desinenza -ite (per esempio gastrite), le infiammazioni che interessano la periferia di un organo, o meglio il tessuto che lo riveste, si indicano con il prefisso peri- (per esempio perimetrite) e con il prefisso para- quelle che hanno sede in prossimità di un organo importante (per esempio infiammazione pararenale).