involuzióne
IndiceLessico
sf. [sec. XIV; dal latino involutío-ōnis].
1) L'atto e l'effetto dell'involgersi, dell'avvolgersi o del ripiegarsi su se stesso.
2) Processo o movimento di ritorno verso forme meno perfette; regresso: un fenomeno di involuzione economica, sociale. Fig., tortuosità, complicazione: involuzione di un discorso.
3) Processo regressivo atrofico di cellule, organi o dell'intero organismo. § In clinica medica, le cause dell'involuzione possono essere fisiologiche, da inattività, da iponutrizione, ecc. Un'involuzione fisiologica interessante tutto l'organismo si verifica nella senilità, mentre in varie età della vita la si osserva a carico di diversi organi (involuzione del timo dopo la pubertà, degli organi sessuali nella vecchiaia, dell'utero dopo il parto, ecc.). L'involuzione da inattività la si riscontra a carico delle ossa e dei muscoli in arti immobilizzati per lungo tempo; l'involuzione da iponutrizione a carico del tessuto adiposo, muscolatura striata, fegato nei casi di inanizione, di rallentamento circolatorio con difettoso apporto di materiali nutritizi nel corso di malattie cachetizzanti di lunga durata (tubercolosi cronica, neoplasie, malattie intestinali, ecc.). § In psicologia, alcuni studiosi usano l'espressione età involutiva (in contrapposizione a età evolutiva) per indicare la vecchiaia. § Nel pensiero kantiano, il termine è applicato alla teoria biologica in opposizione a quella dell'evoluzione. Presso molti autori l'involuzione implica una connotazione negativa che richiama l'idea del regresso o della dissoluzione. Alcuni filosofi positivisti invece individuano proprio nell'idea d'involuzione la molla fondamentale del progresso universale, inteso come passaggio dal complesso al semplice, dall'eterogeneo all'omogeneo.
Involuzione . Ovaio di donna giovane in cui i follicoli oofori sono numerosi.
De Agostini Picture Library
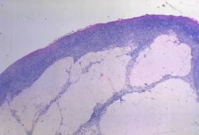
Involuzione . Ovaio senile con assenza di follicoli oofori e presenza dei cosiddetti corpi fibrosi albicali.
De Agostini Picture Library
Geometria
Proiettività di una forma di prima specie in sé (per esempio di una retta, o di un fascio di rette, in sé) il cui quadrato è l'identità; ciò vuol dire che se al punto P corrisponde il punto P´, il corrispondente di quest'ultimo è di nuovo P. I punti che si corrispondono in un'involuzione si dicono coniugati; quelli uniti autoconiugati o doppi. Dal punto di vista reale, un'involuzione può ammettere due punti doppi reali, o complessi coniugati, o reali coincidenti; l'involuzione si dice allora, rispettivamente, iperbolica, o ellittica, o parabolica; un'involuzione parabolica dicesi anche degenere. L'equazione di un'involuzione definita su una retta è x´ = (ax+b)/(cx-a), in cui x´ è l'ascissa del punto in cui viene trasformato il punto che ha ascissa x; a, b, c sono numeri reali. Se c = 0, si può convenientemente scegliere l'origine delle ascisse in modo che l'involuzione si possa rappresentare con x´ = k/x in cui k è un numero reale. Nel piano euclideo ampliato, è detta involuzione ortogonale l'involuzione di un fascio di rette che a ogni retta fa corrispondere la retta ortogonale a quella data. Si tratta di un'involuzione ellittica, i cui elementi doppi sono le rette isotrope. Sempre nel piano euclideo ampliato, si dice involuzione assoluta l'involuzione della retta impropria che ha per punti coniugati i punti impropri di rette fra loro ortogonali. È anche questa un'involuzione ellittica i cui punti doppi sono i punti ciclici.